About
Schwartz Dental Group
The Power of Smile
Dr. Schwartz
Our Work
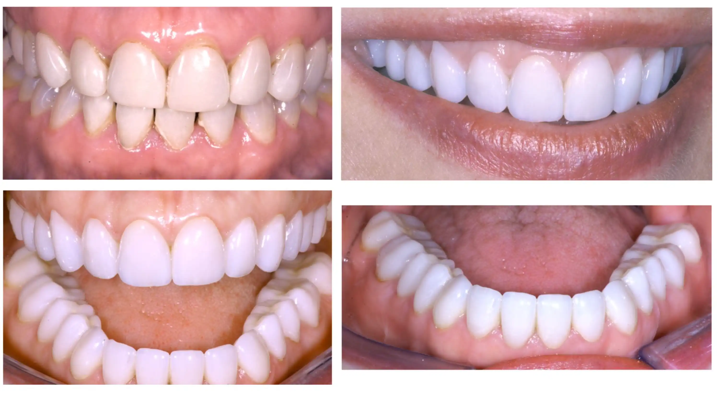
Transformations
Reviews
Aesthetic Procedures
More
eNews Sign-Up
Testimonials
Resources
Inspiration
View of Office
Contact
Request an Appointment
Request an Appointment
Dental
Transformations